Introduction
Chronic knee pain, affecting over 25% of adults in the United States, has surged by 65% over the past two decades leading to rising functional deficits, mobility problems, and a diminished quality of life.1 While conservative management with pharmacologic and minimally-invasive injections are pursued early in the disease process, total knee arthroplasty (TKA) for refractory osteoarthritis of the knee is annually performed on over 5 million individuals in the United States.2 This procedure usually improves pain and function within the first three months, though the trajectory beyond this period still needs to be more thoroughly characterized.2 For patients with continued pain after TKA, options for relief can be limited, even with techniques such as genicular nerve blocks (GNB) and radiofrequency ablations (RFA).3,4
Peripheral nerve stimulation (PNS) is a pain management technique involving the implantation of an electrode near a targeted nerve and using electrical stimulation to potentially alleviate pain.5 Case reports have demonstrated promising results utilizing PNS for non-operable osteoarthritis, chronic pain after TKA, and other lower extremity pain conditions.5–7 We detail the case of a patient with a previous TKA who developed chronic pain after TKA as well as an inoperable patella fracture following a fall. This patient underwent interventional procedures including genicular nerve blocks and radiofrequency ablation but ultimately obtained significant relief with PNS despite prior neuro-destructive procedures.
Case
The patient was a female in her 60s with a past medical history of hypertension, coronary artery disease, and congestive heart failure who presented to the pain clinic for chronic pain related to a previous TKA and right patella fracture. The patient reported she had ongoing chronic pain complaints after her TKA in 2017 leading to a fall and subsequent patella fracture. Despite initial surgical repair immediately after her fracture, the patient reported ongoing pain complaints described as a constant sharp, stabbing, electric 8/10 pain that increased to 10/10 with movement and weight-bearing. This pain was refractory to conservative treatments including physical therapy, bracing, over-the-counter analgesics, and as-needed hydrocodone-acetaminophen 5 mg-325 mg every six hours. Between 2019 and 2021, the patient underwent three separate surgeries for irrigation, debridement, and revision surgeries. During this time other opioids were tried, including tramadol 50 mg every six hours and oxycodone 5 mg every 6 hours. In 2022, the patient underwent another knee revision surgery with ongoing pain complaints. The patient was ultimately referred to our clinic for ongoing chronic pain despite several surgeries and right patella nonunion.
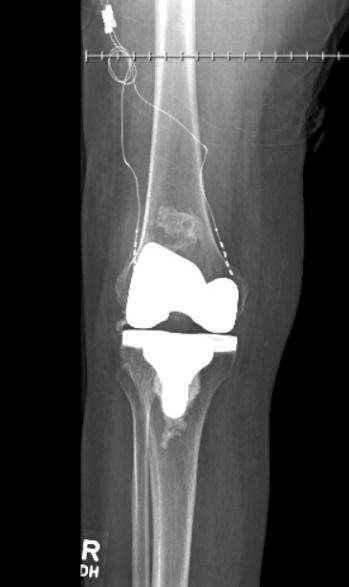
After initial evaluation by our pain management service, the patient was referred to the orthopedic surgery department for a second opinion. The orthopedic team reported her patella fracture appeared stable and given her medical comorbidities, she was deemed a non-surgical candidate. In our clinic, the patient was initiated on gabapentin 300 mg three times daily and titrated up to 1200 mg three times daily, with no improvement. She underwent genicular nerve blocks with 70% improvement. She then underwent genicular radiofrequency ablation, which produced minimal improvement. The patient was transitioned to multiple medications including topical creams, pregabalin, tramadol, hydrocodone, and oxycodone with inadequate improvement in her pain and functionality. After 6 months of failed medication changes the patient was offered a peripheral nerve stimulation trial. The decision was made to wait 6 months after the genicular RFA before proceeding with nerve stimulation to allow for nerve regeneration. Following these interventions, the patient underwent a peripheral nerve stimulation trial of the superior medial and superior lateral genicular nerves which produced 60-80% improvement therapy utilizing Nalu PNS technology [Nalu Medical, Carlsbad, California]. After the PNS trial, the patient proceeded with a long-term Nalu micro-implantable pulse generator and PNS system targeting the superior medial and lateral genicular nerves with 70% improvement. Figures below demonstrate postoperative lateral (figure 1) and anteroposterior (figure 2) X-rays. The leads were placed along the pathway of the superior medial and lateral genicular nerves which are proximal and posterior to the epicondyle of the femur.8 After permanent implantation, the patient was given a brief course of hydrocodone for postoperative pain. At her 1-month postoperative visit, she reported a 50% improvement in her pain complaints. At her 3-month postoperative visit, she had weaned off all opioid medications and was endorsing a 60% improvement in her knee pain complaints.
Discussion
Considering the conventional reliance on opioids and medication management for treating chronic postoperative knee pain, there is a significant need for research into alternative approaches for pain relief in post-TKA patients. Currently, there are limited studies on GNB and RFA for post-TKA patients, with one study by Qudsi-Sinclair et al. comparing the two in a year-long double-blinded, randomized clinical trial.9 They found that GNB and RFA produced comparable results in greater than 50% pain reduction, quality of life improvement, and opioid reduction within the first three to six months before returning to baseline. For osteoarthritis knee pain, Yildiz et al. compared GNB and RFA and found similar results as Qudsi-Sinclair et al. at one week, one month, and 3 months before returning to baseline.10 Significant reductions in osteoarthritis knee pain scores with RFA compared to a control group were also reported by Ikeuchi et al. at four, eight, and twelve weeks.11 The responder rates were limitations of this study, however, with the RFA response rates being 50% at four weeks, 30% at 12 weeks, and eventually dropping to 0% at six months. Other RFA modalities, such as cooled-RFA, have also shown analgesic benefits over six months for knee osteoarthritis.12 However, these results were limited by a low outcome rate, with less than half of the procedures achieving a significant 50% or greater pain reduction.
Because GNB and RFA effects often fade beyond three months, consideration should be given to PNS to provide sustained pain relief. Previous studies have shown that PNS can be effective for knee pain. A systematic review by Lin et al. identified four studies that fit that criterion, revealing that PNS is a viable option for managing knee pain, particularly in the postoperative phase.13 Two of the four studies were by Ilfeld et al., who showed proof-of-concept demonstrating pain reduction for post-TKA pain within days after the surgery.14,15 In the first study, the average pain between five patients decreased by 64% at rest and 50% during active moments.14 In the other study, average pain decreased by 93% in five different patients.15 An additional study by Ilfeld et al. reported analgesic benefits with pre-surgical implantation of PNS leads for patients undergoing TKA.16 This study revealed reported pain scores < 4 in 86% of patients within the first week of surgery. By twelve weeks, functional scores improved by 10% in the six-minute walk test and 85% in the Western Ontario and McMaster Universities Osteoarthritis Index scores, which report on pain and function. Notably, in addition to the decreased pain scores, all patients ceased using opioids within one-week post-TKA.
The aforementioned studies demonstrate that PNS can provide improvement in analgesia, quality of life, and functional benefits for knee pain, including post-TKA. However, the temporal analgesic limitations of GNBs and RFAs, and the temporal implantation limitations of PNS before or acutely after TKA as shown by Ilfeld et al. studies, necessitate data on PNS use for chronic post-TKA pain beyond three months. Our case is distinctive in that PNS can effectively target the superior medial and lateral genicular nerves even several years after undergoing a TKA followed by genicular RFA.
Conclusion
Our case highlights the potential of PNS directed at the superior medial and lateral genicular nerves as a promising non-opioid option for postoperative chronic knee pain following TKA. Additionally, our patient was unique in that she also was suffering from a patella fracture and deemed a non-operable candidate and had already been treated with neuro-destructive therapies. However, as a single case report, our case is underscored by the need for further research to validate our encouraging findings and establish the broader applicability of PNS for severe chronic pain conditions.


