Introduction
with the growing adoption of UKA, complications associated with the procedure have attracted more attention. These include infection, progressive arthritis in the contralateral compartment, ligament instability, periprosthetic fractures, prosthesis dislocation, and loosening.1,2 Among these, periprosthetic fractures—particularly fractures of the tibial plateau—are relatively rare but clinically significant complications.3,4 Contributing factors include suboptimal prosthesis positioning, excessive or deep tibial resection guide pin holes, lateral placement of the prosthesis, undersized prostheses, and insufficient correction of varus alignment, all of which can result in excessive load on the medial plateau postoperatively.5,6 Proximal tibiofibular fractures following UKA are exceedingly rare and have not been previously reported in the literature. This report describes a case of a trauma-induced proximal tibiofibular fracture after UKA. Without timely and appropriate intervention, such fractures could severely compromise both the functional outcomes of UKA and the long-term survival of the prosthesis. This study explores the mechanisms, management strategies, and treatment options for this rare complication, with the aim of informing clinical practice.The patient provided written informed consent for the publication of her data.
Case Presentation
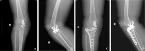
A 64-year-old female patient presented with a history of right knee joint pain lasting over two years. Preoperative physical examination and imaging studies confirmed medial unicompartmental knee osteoarthritis. On August 16, 2022, she underwent right medial UKA using the Oxford Unicompartmental Knee System, Phase 3 (Zimmer, Warsaw, USA). The procedure involved implantation of an A-size tibial plateau and an extra-small femoral condyle prosthesis. Postoperative radiographs on day one confirmed proper prosthesis alignment with no signs of fractures. Standard rehabilitation was initiated, and the patient was able to walk with a walker on postoperative day two. Early postoperative recommendations included avoiding strenuous activities to minimize loading on the lower limb. Follow-up evaluations indicated satisfactory knee function, with no significant discomfort and a good range of motion (Figure 1).
Eight months postoperatively, the patient experienced swelling and pain in the knee after a fall and sought emergency care. Upon examination, a 5 cm surgical scar was noted on the anteromedial aspect of the right knee, along with mild swelling, localized tenderness over the proximal tibia and fibula, palpable crepitus, and restricted active and passive range of motion. Radiographs and computed tomography (CT) scans revealed a displaced proximal tibial and fibular fracture. Preoperative assessment, including physical examination and imaging, showed no evidence of prosthetic loosening.
Management and Outcomes
On April 3, 2023, the patient underwent ORIF. A lateral approach to the proximal tibia was used, with an incision approximately, providing adequate exposure of the lateral tibial plateau. Following reduction of the fracture, an anatomically contoured locking plate was applied to the proximal tibia. Intraoperative evaluation confirmed stable fixation, and the prosthesis showed no signs of loosening. Postoperative radiographs on day one confirmed proper plate and screw positioning, as well as the stability of the prosthesis (Figure 2). Monthly follow-up radiographs were obtained, and weight-bearing activities were restricted for the first six weeks. At three months postoperatively, the patient gradually resumed full weight-bearing activities. The recovery was uneventful, and follow-up radiographs at one year postoperatively showed excellent fracture healing, with no visible fracture line, a stable prosthesis, and normal knee range of motion without pain (Figure 3).
Discussion
These fractures are clinically significant and warrant a deeper understanding of their risk factors and appropriate treatment strategies. In particular, proximal tibiofibular fractures are exceptionally rare and their occurrence can be influenced by multiple factors, including the surgeon’s technique, the quality of the patient’s bone, the type of implant used, and trauma-related events.
Surgical technique plays a pivotal role in minimizing the occurrence of periprosthetic fractures. The complication rate in UKA procedures performed by experienced surgeons is markedly lower than that observed in less-experienced practitioners.3 Moreover, excessive bone resection or improper drilling during surgery are primary contributors to intraoperative tibial fractures.7 The risk of fractures can be substantially reduced by improving surgical techniques, such as employing minimally invasive methods and ensuring precise bone cutting.Bone quality is another critical factor. Weinrauch et al found that patients with osteoporosis are more prone to tibial fractures following UKA, due to the compromised structural integrity of the tibia.8 Consequently, a thorough preoperative bone assessment and appropriate management of bone health are essential. The importance of preoperative and postoperative osteoporosis treatment for high-risk patients, including the use of bisphosphonates or supplementation with calcium and vitamin D, which can significantly reduce fracture incidence.9 The design of the implant also influences the risk of periprosthetic fractures. Certain implant designs can elevate the risk of fractures, particularly in patients with poor bone quality.4 Using implants with improved stability and biocompatibility such as those that offer better load distribution can help reduce fracture occurrences.5,6 In this particular case, the surgical technique was not a contributing factor to the complication, as our center has successfully performed hundreds of UKA surgeries, all yielding favorable outcomes. The third-generation Oxford mobile unicondylar platform prosthesis was utilized, which is routinely employed in our center. However, during the preoperative evaluation, a comprehensive bone assessment was not conducted, and the existing osteoporosis was not adequately addressed. Furthermore, standardized anti-osteoporosis treatment was not implemented in the perioperative period. These lapses, in combination with trauma, may have been the primary contributors to the patient’s proximal tibiofibular fracture.
The management of periprosthetic fractures surrounding UKA remains a subject of ongoing debate. Surgical intervention is typically preferred, particularly in cases involving significant fractures or those affecting implant stability. Kim et al. suggest that for severe fractures, especially those that compromise implant stability, ORIF is required.7 Revision surgery in cases where fractures are caused by implant loosening or malposition to restore stability and promote functional recovery.9 For less severe fractures, particularly when the implant remains stable and the fracture does not affect joint function, non-surgical management may be considered.8 In the case at hand, the patient’s fracture was classified as a proximal tibial articular external fracture, in combination with a fibular neck fracture, according to the AO/OTA fracture classification. Imaging and clinical evaluation revealed no signs of implant loosening, and the fracture was treated with open reduction and internal fixation via a lateral approach to the proximal tibia. Importantly, this procedure did not disturb the joint prosthesis, nor was the knee joint cavity exposed. Postoperative follow-up demonstrated good fracture healing, with knee joint function returning to baseline levels, and the patient reported no pain.
To prevent periprosthetic fractures after UKA, appropriate postoperative management and preventive measures are essential. These include careful control of weight-bearing, enhanced rehabilitation efforts, and regular follow-up examinations. During the early postoperative phase, patients should avoid vigorous activities that could increase fracture risk. For high-risk patients, assistive devices such as crutches or walkers are recommended to minimize weight-bearing on the lower extremities.4 Regardless of the treatment approach, postoperative rehabilitation plays a critical role in the functional recovery of patients. Early functional rehabilitation helps to restore knee joint mobility and reduce postoperative complications.3 In this case, following the second internal fixation surgery, our rehabilitation strategy leaned towards a conservative approach to prevent implant loosening. Consequently, rehabilitation was delayed, resulting in the patient’s knee joint function not fully recovering to the level of the contralateral side one year postoperatively.
Conclusion
In summary, periprosthetic fractures following UKA represent a multifactorial complication. The incidence of such fractures can be significantly reduced through the improvement of surgical techniques, careful selection of implants, and the enhancement of both preoperative and postoperative guidance, including comprehensive follow-up care. Additionally, performing thorough preoperative and postoperative bone assessments, alongside the implementation of standardized anti-osteoporosis protocols during the perioperative period, is crucial. The treatment of periprosthetic fractures around UKA requires an individualized approach, taking into account factors such as the location and type of the fracture, implant stability, and the patient’s overall health status, including the presence of osteoporosis.
Contributions
Zenghui PhD, wrote the article, proposed the topic of the manuscript and participated in the submission of the final manuscript. Cai Jiaobin MD, Liu Guangbao MD, Chen Tengfei MD, participated in the Acquisition of data. Cao Qingliang MD and Chen Yisheng, MD reviewed the final manuscript.
Funding
None
Conflict of interest
The authors confirm that this article’s content has no conflict of interest.
