Introduction
Aortic dissection is a rare, life-threatening cardiovascular disorder characterized by rupture in the intimal layer of the aorta, creating a false lumen between the intima and media and allowing blood to flow into and collect between the two layers.1 The Stanford and Debakey systems are used to anatomically classify aortic dissections. The Stanford system for aortic dissection has two classifications of the condition based on its location in the aorta. Stanford Type A Aortic Dissections are classified as an aortic dissection involving the ascending aorta with a dissection proximal to the brachiocephalic artery. Type B Aortic Dissections involve the descending aorta and originate distal to the left subclavian artery.2 The DeBakey system for aortic dissection has three, slightly more specific classifications: Dissection involving the ascending and descending aortas and the aortic arch (Type I), dissection involving the ascending aorta only (Type II), dissection originating distal to the left subclavian artery in the descending aorta and extending until the visceral cavity (Type 3a) or extending further onto the abdominal aorta and arteries (Type 3b).3 The most common complaints from patients with aortic dissection are chest pain and back pain, which are very generalized and vague symptoms that could indicate a variety of diseases.4–6 This increases the difficulty of diagnosis at first presentation and explains why only 15% to 43% of confirmed aortic dissection cases are correctly diagnosed at their first presentation.2 The vague symptoms of chest pain and back pain contribute to the mortality rate of aortic dissection by potentially prolonging proper diagnosis and intervention for the life-threatening consequences of aortic dissection such as compromised blood flow to vital organs, potential for embolization, aortic rupture, cardiac tamponade, etc.2,7 This reinforces the importance of practitioner suspicion of lethal conditions such as aortic dissection even from symptoms considered to be vague or atypical.8 Lethality of aortic dissection increases 1%-2% for every hour of missing or delayed intervention within the first 48 hours of acute onset.9–11 This, in combination with the often nonspecific symptoms of aortic dissection results in greater than 60% of aortic dissection cases being diagnosed during post-mortem analysis.12 Risk factors contributing to increased likelihood of aortic dissection may include sex, advancing age, dyslipidemia, obstructive sleep apnea, connective tissue disorders, hypertension, aortic aneurysm, and genetic predisposition .1,9
Case Presentation
The patient is a 66-year-old male who presented to the emergency department with a complaint of musculoskeletal chest pain and upper back pain. Patient reported he was using the bathroom earlier in the morning, when he experienced a sudden onset of substernal chest pain. Confounding the picture was the fact that he worked in construction and routinely did heavy lifting. He was also stoic, stating multiple times “I think it’s probably just a pulled muscle, I’m getting old.”
The patient’s vital signs were temperature 98°F, respiratory rate 18, blood pressure 140/63 mmHg, pulse 74, and oxygen saturation 98% on room air. In the emergency department, the patient’s description triggered suspicion for aortic dissection, so bilateral arm blood pressures were taken. Blood pressure was higher in the left arm compared to the right arm. He reported only feeling slightly lightheaded, but no focal weakness in any of the limbs. Patient denied any fever, chills, shortness of breath, nausea, vomiting, diarrhea, abdominal pain, headache, or urinary symptoms, Patient has past medical history of hypertension and hyperlipidemia.
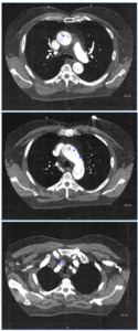
An electrocardiogram was ordered which revealed normal sinus rhythm with normal PR, QRS, and QTc intervals. A CT chest angiography was carried out due to high index of suspicion of aortic dissection. Imaging confirmed a Type A aortic dissection extending from the aortic root to the upper abdominal aorta, with the dissection flap extending into the brachiocephalic, left common carotid, and left subclavian arteries. There was also evidence of trace hyperdense pericardial fluid, especially adjacent to the ascending aorta, suspicious for trace hemopericardium [figure 1].
The vascular surgery department was immediately consulted, and the patient was taken in for emergency operative management. The patient did well after the surgery and was discharged home on hospital day 5.
Discussion
The mortality and fast-acting nature of aortic dissection and the delay in patient presentation to the emergency department highlight the cruciality of the prompt, accurate diagnosis and intervention for aortic dissection. The collection of blood in the false lumen created by aortic dissection induces stress on the media and adventitia, developing more potential for the life-threatening consequences the longer that treatment is delayed. Untreated or insufficient intervention for aortic dissection can lead to serious consequences such as aortic rupture, multiorgan failure and/or death.7,13 A variety of medical and surgical approaches are used to manage and repair aortic dissection. Early diagnosis of aortic dissection is crucial to determine proper treatment for the condition.14 Stanford Type A aortic dissection requires emergency open surgery to be performed following prompt diagnosis to minimize mortality.15 Surgery for aortic dissection entails replacing the dissected section of the aorta with a graft and closing off the false lumen to redirect blood flow into the true lumen only.16,17 The open surgery approach without aortic clamping is preferred because it allows for enhanced visualization of the aorta and the full extent of the dissection.16 The use of β-blockers and antihypertensives has been increasingly advised for type B dissections until or unless surgery becomes necessary due to complications or further myocardial deterioration.18 Additionally, endovascular stent grafting has been developing as a minimally invasive yet effective approach to both type A and B aortic dissections.19,20
Conclusion
The life threatening and rapidly deteriorating nature of aortic dissection makes prompt diagnosis and treatment crucial to optimize a patient’s chances of survival and recovery. While treatment differs for different types of aortic dissection, the urgency for it remains. The mainly nonspecific symptoms and complaints that patients with aortic dissection experience often do not indicate conditions as severe as aortic dissection and thus do not arouse suspicion for them—in patients and practitioners alike. For this reason, training practitioners and civilians to recognize and be suspicious of aortic dissection in a similar manner that has been done with myocardial infarction may prove useful to improve recognition and timely diagnosis and intervention for aortic dissection. The potential for such nonspecific symptoms such as chest or back pain to indicate medical conditions as severe as aortic dissection highlights the importance of implementing such strategies to improve prognosis of aortic dissection.

.png)