Introduction
Hallux rigidus is a condition caused by degenerative arthropathy of the first metatarsophalangeal (MTP) joint. It is characterized by joint pain, which is worsened during movement and loss of motion, which affects activities including walking/running/climbing stairs.1 The etiology of hallux rigidus is not clear, while associated factors include family history and female gender in case of bilateral presentations and history of trauma for unilateral cases.2 Other studies report a correlation with inflammatory conditions, such as gout and various forms of joint arthritis.3 While the average age of patients presenting with this diagnosis is over 50 years, 10% of the patients have the radiographic changes during younger ages (20-34 years).1,3 Generally, there is no consensus on the classification of the severity of this joint condition; however, the majority include criteria including degree of dorsiflexion, presence of radiographic findings and clinical presentation of pain/stiffness.3 The earlier stages of hallux rigidus are treated using a conservative approach, such as modification of shoes, activity by reducing the use of the joint (avoid running, jumping, limiting the use of stairs), NSAIDs, intra-articular steroid injections with temporary effect.4 More advanced cases can be treated by a variety of surgical interventions. The options are cheilectomy, Moberg procedure, arthrodesis or arthroplasties: Keller resection, first MTP implant and interposition.4
As there is a range of surgical options, there is no consensus on optimal intervention, especially for patients willing to conserve joint movement. Moreover, total joint arthroplasty is controversial, being limited by the design of the implant and the material used in the implant. For example, silicone implants are associated with higher rates of osteolysis, immune reaction and moderate satisfaction on pain score. Metallic implants are associated with the same complications and loosening of almost half of implants within 1 year after the surgery.5 The use of ceramic implants presented similar outcomes; however, studies included a smaller number of patients. Therefore, there is a lack of prospective clinical data on modern all-ceramic implants.
This report and review is aimed at characterizing the clinical course of hallux rigidus treatment by total MTP arthroplasty using an all-ceramic implant and contextualizing the outcomes through a targeted literature review focusing on the publications of the last 10 years. It will also address the gap in clinical data by evaluating the short-term clinical and functional outcomes of patients.
Methods
Study Design & Setting
This study is a prospective case series, which was conducted to observe and document the clinical characteristics and outcomes of patients with hallux rigidus at the National Scientific Center of Traumatology and Orthopedics named after Batpenov in Astana, Kazakhstan. Patients were enrolled consecutively over a period from June 2024 and still being enrolled in May 2025. Each case was followed from the first presentation to treatment and follow-up. All data was collected using standardized forms and protocols. The treatment was provided to patients as routine clinical care.
Ethical & Regulatory Considerations
Written informed consent was obtained from all participants included in this case series. Each patient received information about the nature, purpose, benefits and risks of the publication. Patients were also informed about the protection of privacy and confidentiality. The informed consent was prepared in accordance with the Declaration of Helsinki. The permission to publish was taken from patients. The Ethics Committee of the National Scientific Center of Traumatology and Orthopedics named after Academician Batpenov N.D reviewed the study. The waiver was granted.
Literature Review Methodology
The publications on databases such as PubMed, Embase, and Web of Science were searched, including case reports and case series reports of patients who underwent replacement of the first MTP using ceramic implants. Titles and abstracts were screened and those unrelated to the focus were excluded.
Case Series
Case # 1 (G.T.)
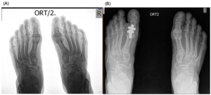
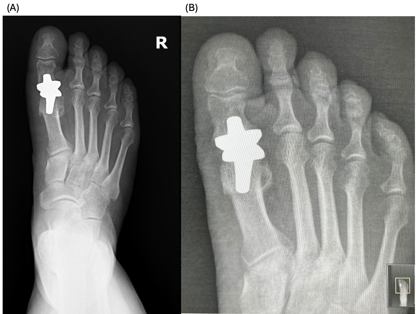
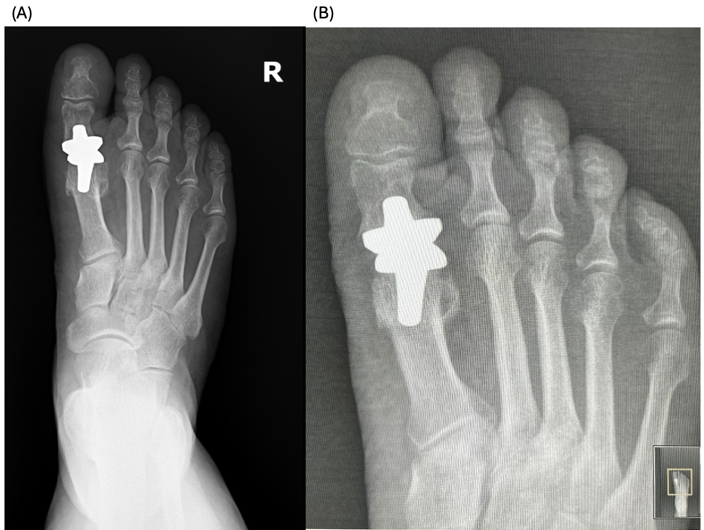
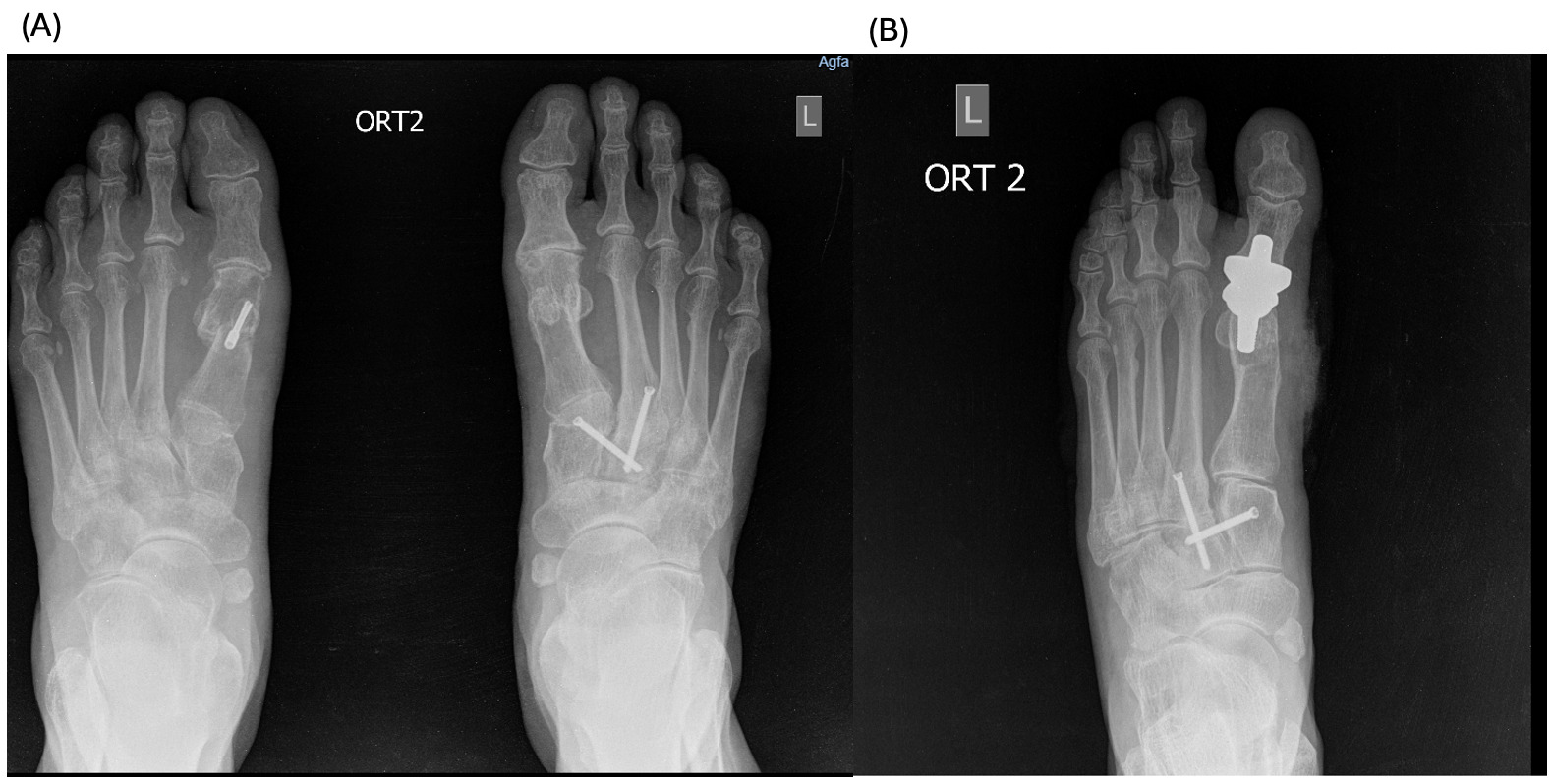
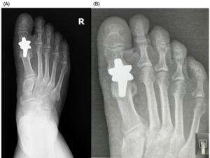
A 61-year-old female patient with a history of trauma on the left first MTP presented to the clinic with complaints of pain and limited range of motion of the right foot first MTP for the last several years. The patient was receiving conservative treatment within the last year with temporary relief; therefore, the surgical intervention was recommended and the patient was referred to our clinic. Physical examination revealed almost no movement and pain on palpation, as it can be seen on Figure 1 (A).
After the total first MTP replacement using ceramic implant, 2 and 6 months later, there is preserved improvement in the joint mobility, absence of pain and discomfort during movement (Figure 1 (B, C)). The patient reports satisfaction with the use of joints.
Case #2 (L.I.)
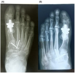
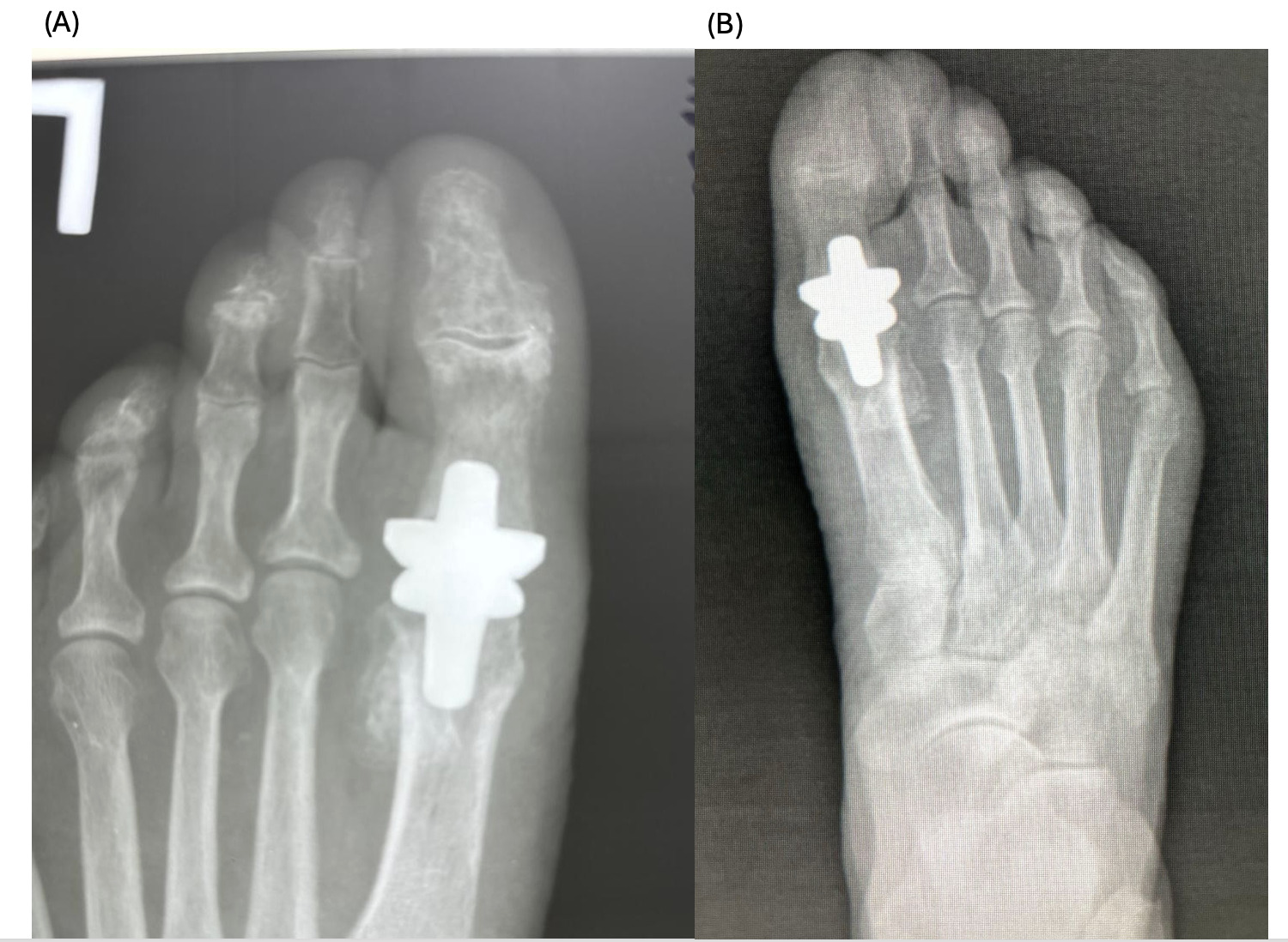
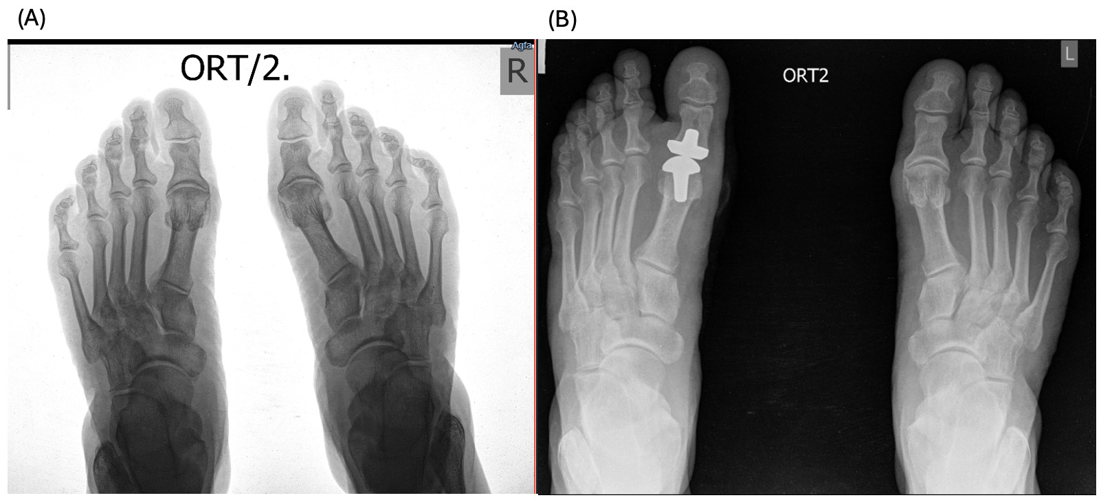
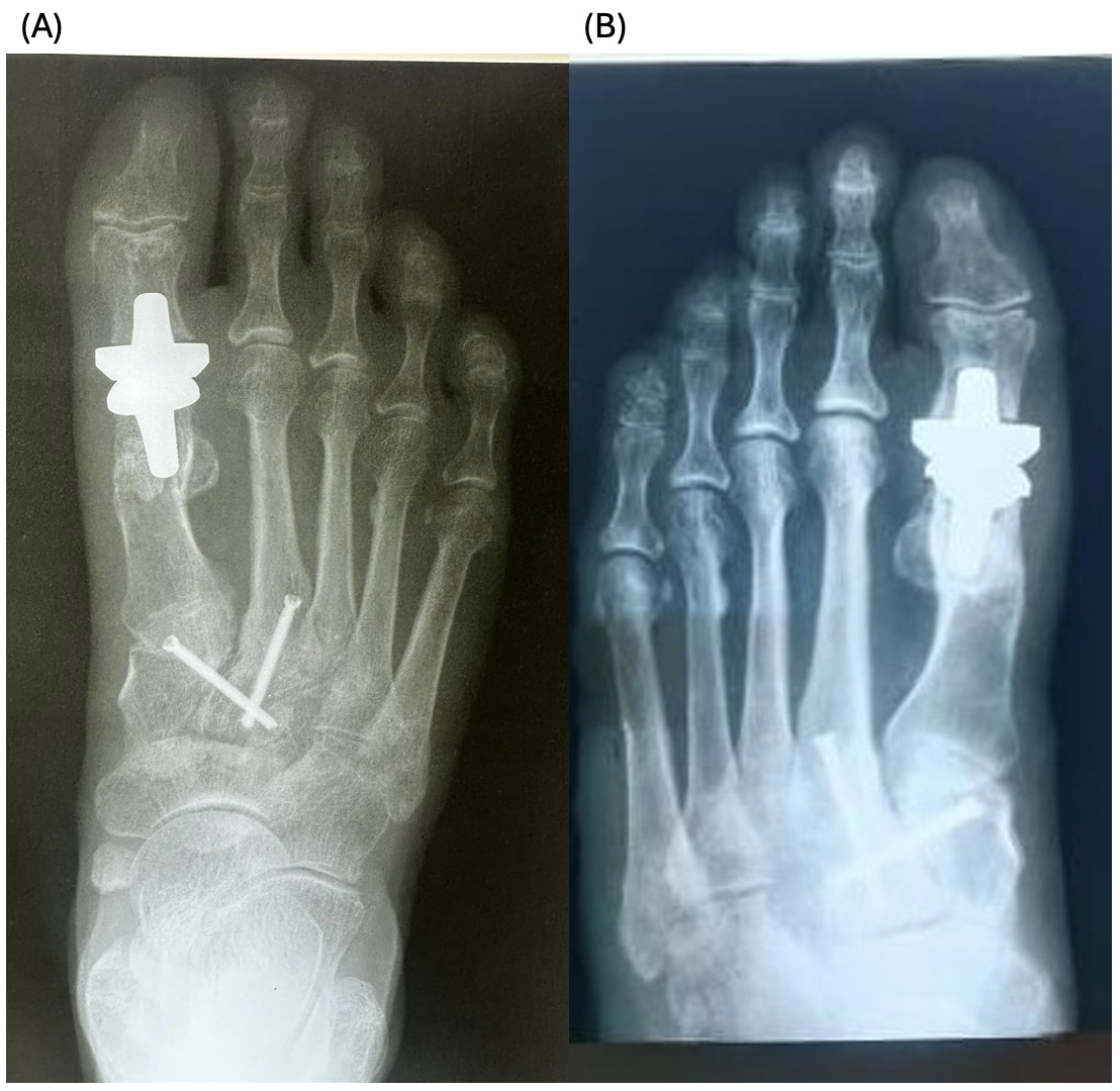
A 63-year-old female patient with a limited range of movement in her right leg, pain during walking or using stairs for the last 1 year, reports significant worsening of the pain after stepping incorrectly 2 weeks ago, with a temporary effect of NSAIDs. Physical movement revealed the movement for 10-15 degrees in the 1st MTP joint, accompanied by pain (Figure 2, A).
2 and 6 months after surgery, the patient reports mostly preserved mobility of the joint, absence of pain (Figure 2 B, C). In addition, the patient reports improvement of edema and a decrease in weight.
Case #3 (R.A.)
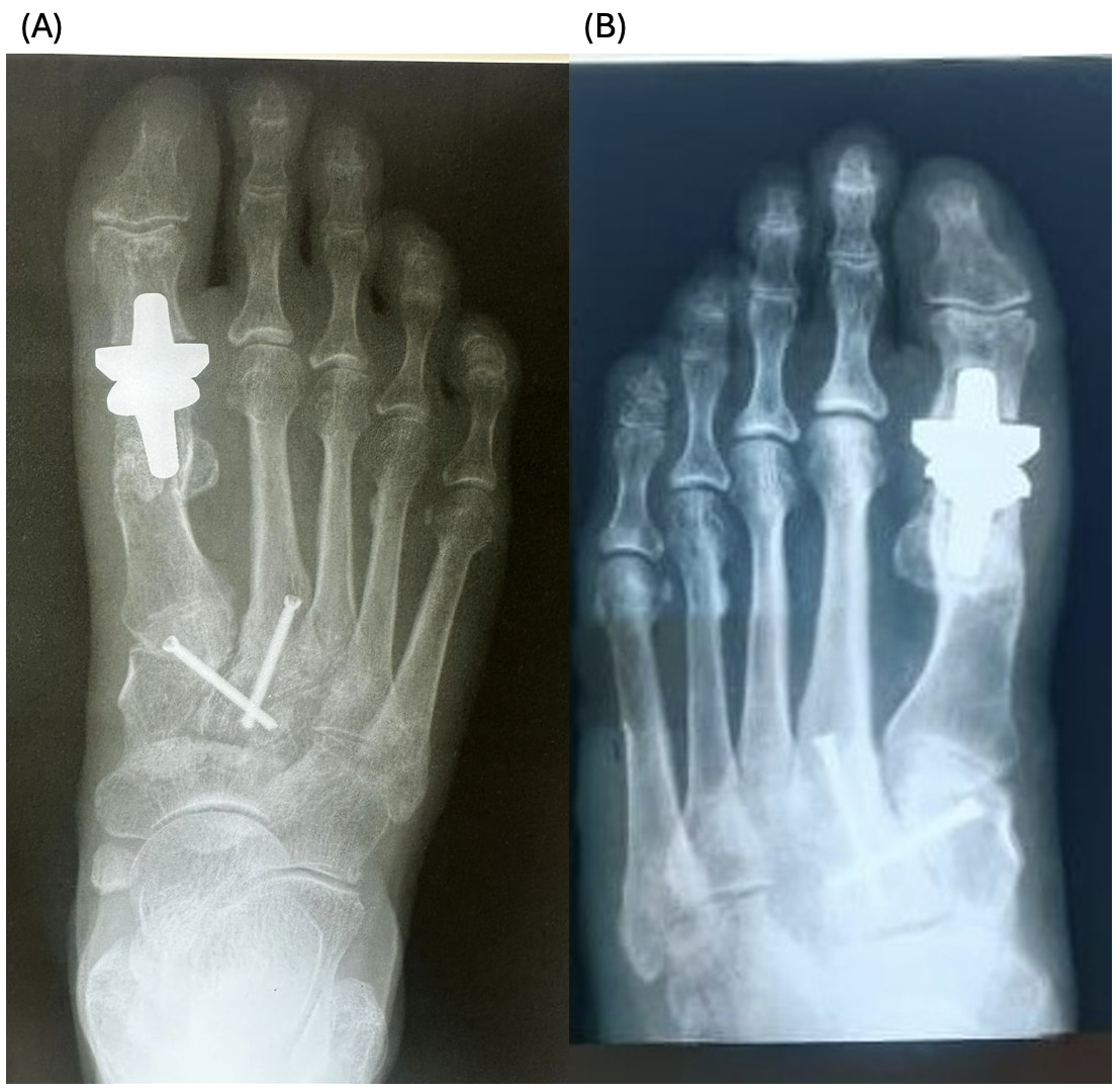
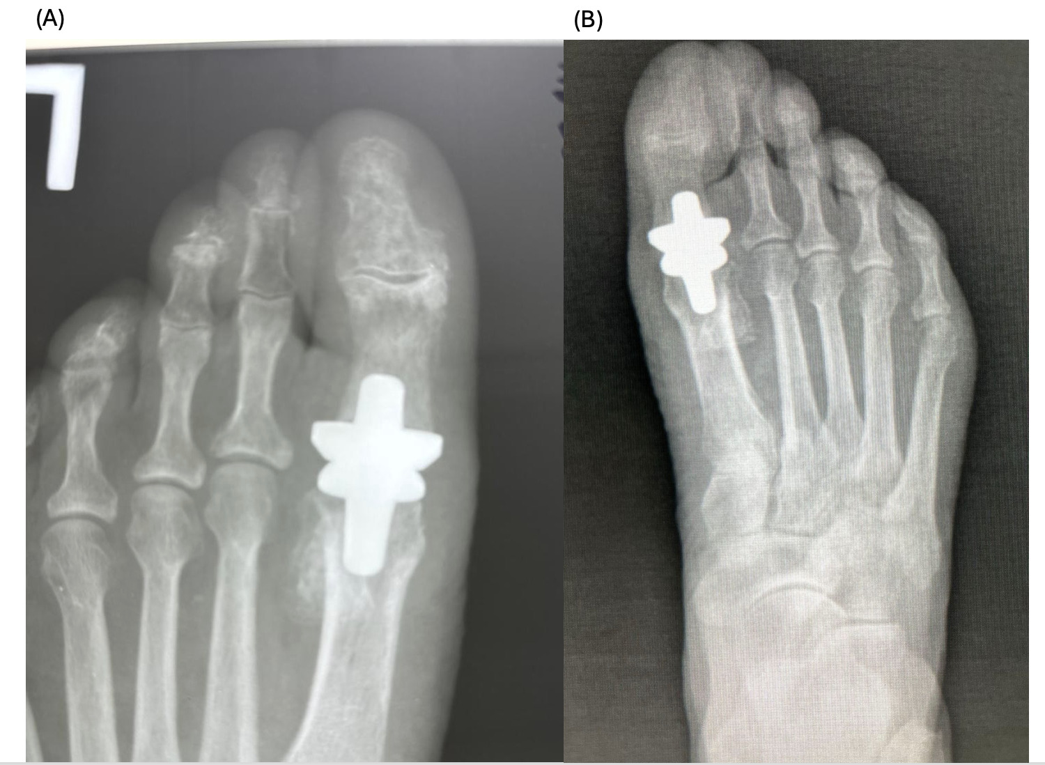
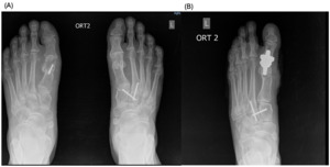
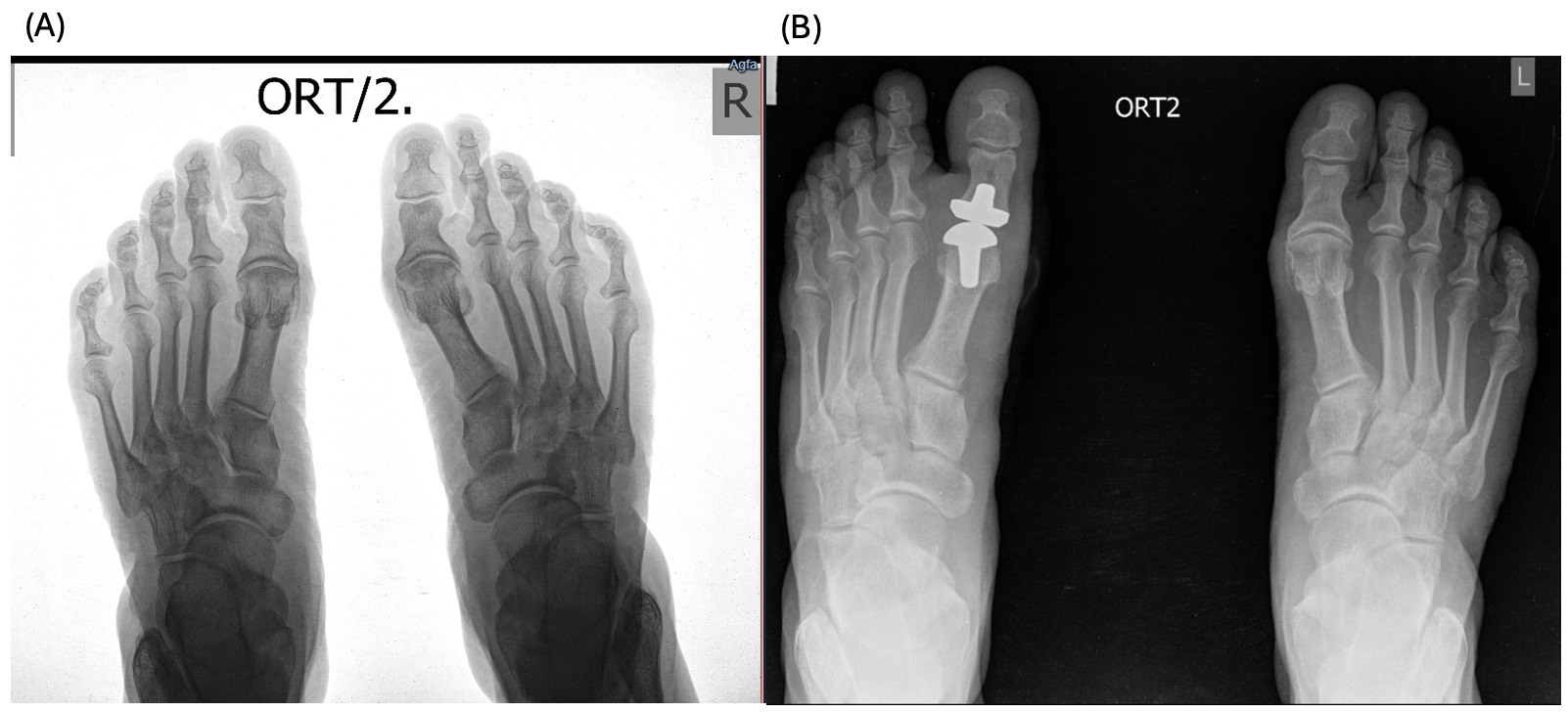
A 58-year-old female patient with a history of arthrodesis of left foot midfoot in 2021, and minimally invasive surgery of the right foot in 2024. The patient had complaints of decreased range of motion and pain on movement of the left foot for the last 5 years. Patient reports worsening after trauma (fall) 7 days ago, since when edema of the left foot appeared, and pain became constant with no response to painkillers. Physical examination revealed crepitus on movement of the first MTP joint and almost no movement (Figure 3 A).
2 and 6 months after the procedure, the patient reports no pain of any type of movement in the joint and improvement in the mobility of the first MTP (Figure 3 B).
The AOFAS scores were measured before surgery and during every follow-up of the patients (Table 1). The evaluation revealed that there is a preserved score and satisfaction with joint functionality. Overall, the patients presented a positive attitude towards treatment results.
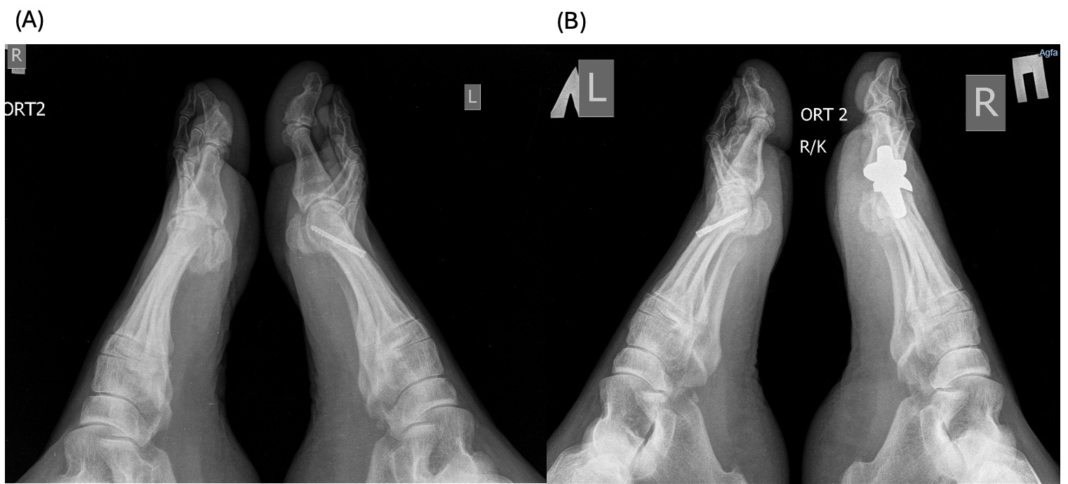
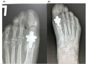
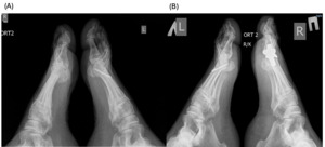
The patients had undergone radiographic evaluation of the MTP joint before the surgery, right after surgery, and 2 and 6 months after surgery (Figures 4-9). The radiographic imaging after the surgery confirmed the correct positioning and alignment. At the follow-up, the radiographic images were done to analyze the early healing process, to observe if there were any signs of implant loosening. 2 months after the surgery, no patient had periprosthetic radiolucencies, no stress-related changes. 6 months after surgery, no osteolysis, no migration of the implant.
Discussion
Total MTP joint replacement using ceramic implants is considered to be controversial: some studies report favorable outcomes, others claim that complications outweigh benefits. This part of the report will review reports of the use of ceramic implants in patients with hallux rigidus to contextualize the results of our case series study.
Earlier reports, like Omonbude and Faraj (2004) report 12 patients with total first MTP replacement using ceramic implants with a pain-free period of 12 months of follow-up.6 Sloan et al, (2004) present 6 patients after unsuccessful first arthroplasty who underwent revision with ceramic arthroplasty and impaction bone grafting.7 Improved pain and functionality scores were observed with patients on almost 17 months of follow-up.7 Similarly, Fadel et al (2005) studied the results of surgery in 13 patients, with success in 11 cases and complications in 2 cases, with an average follow-up of 25 months.8 Townshend & Greiss (2007) described the results of 9 patients treated with total ceramic arthroplasty for primary and revision procedures with a successful outcome for 2 years of follow-up.9 Good to excellent scores were also presented by Brewster on 32 joints of patients with hallux rigidus with 34 34-month follow-up.10 In agreement, Arbuthnot et al (2008) present results of the first MTPs replacements of 40 patients with 24 months follow up and claim improvement in quality-of-life scores related to the foot.11
Interestingly, later publications represent both negative and positive outcomes. First to publish results of the study with a longer period of follow-up (up to 8 years, on average 5 years) were Dawson-Bowling et al (2015), who reported 30 patients with 32 arthroplasties.12 In this case, more than half of patients had loosening of the prosthesis with need in reoperation in 26%, while other patients showed poor mobility of the joint at final follow-up, so the authors do not recommend continued use of implants.12 Similarly, Nagy et al (2014) performed 31 first MTP replacements using ceramic implants and reported poor and fair clinical outcomes in more than half of the cases (55%) with a need for revision in 16% cases due to loosening, subluxation, sinkage and other issues related to the implant.13 Despite such results, patients were satisfied with the procedure in 77%.13 Similarly, Horisberger et al (2016) presented 25 patients with 29 first MTP replacements. However, in this case, despite 24% of patients needing secondary surgery, other patients reported significant improvement in pain score (from average of almost 6 to 1.2).14
Next, there are studies reporting successful results in terms of relief of pain in 95% cases of 59 patients and in all cases of 37 patients’ long-term (up to 9 years) follow-up.15 However, in those studies, the silicone implants with grommets. It means that the design of prostheses or suboptimal fixation techniques is also significant for achieving successful results. Modern ceramic implants may be beneficial in terms of improved material and biomechanics. However, the long-term evidence is still limited.
Ceramic total MTP arthroplasty emerged as an alternative approach to more common surgical treatments such as arthrodesis or use of silicone/metallic implants. Currently, arthrodesis remains the preferred treatment option for severe hallux rigidus. However, there are numerous challenges related to the procedure, such as risks of malunion in valgus, dorsiflexion, plantar flexion, shortening of the first ray, and difficulty achieving stable set.16 While the surgeries involving arthroplasties are controversial, the development of new designs with use of new materials represent the potential of this treatment approach.
This case series demonstrates successful short-term results following total first metatarsophalangeal (MTP) joint replacement using ceramic implants in patients with hallux rigidus. All three patients presented significant improvement in AOFAS scores within 2 months postoperatively, with preserved improvement at 6 months. Notably, Patient C, who had the lowest preoperative score (27/100), achieved the greatest relative improvement, reaching 92/100 at 2 months and 89/100 at 6 months. These functional outcomes were confirmed by physical examination findings, with clear improvements in joint alignment and reduction in deformity (Figure 1-3, (B, C)). Moreover, radiographic imaging revealed no signs of complications such as implant loosening, migration or stress-related changes.
The results of this study align with early reports in the literature suggesting promising short-term benefits of ceramic MTP joint arthroplasty. For instance, Omonbude and Faraj (2004) and Townshend & Greiss (2007) reported positive outcomes in small cohorts with follow-ups up to two years.6,9 Similarly, Sloan et al. (2004) and Fadel et al. (2005) observed improved functionality and pain relief in revision and primary procedures, respectively.7,8 Brewster’s larger study of 32 joints (2005) also supports the consistency of favorable outcomes, reporting good to excellent results at an average follow-up of 34 months.11
However, outcomes reported in other studies with longer follow-up durations paint a more complex picture. Despite a high rate of revision, patient satisfaction remained high, similarly to our findings in terms of early postoperative improvement. Moreover, Horisberger et al. (2016) further supported this duality, reporting both significant improvements in pain scores and a relatively high rate (24%) of secondary interventions.14 These findings suggest that while ceramic MTP joint arthroplasty offers significant short-term relief and functional gains, as demonstrated in our series, the durability of such outcomes seems to remain uncertain. Longer-term follow-up is essential to identify whether these improvements are sustained and whether the risk of complications such as implant loosening or subluxation becomes more frequent over time.
Moreover, it is critical to understand that the studies described above are case series, not randomized controlled trials; therefore, the findings cannot be generalized. Next, limitations of those studies, as well as our case series, are a small sample size and a limited follow-up duration.
Our results support the cautious optimism seen in earlier studies and highlight the potential of ceramic implants to significantly improve the quality of life in the short term for patients with hallux rigidus. However, these findings must be interpreted in the context of a small sample size and short follow-up. Future prospective studies with larger cohorts and longer follow-up periods are needed to clarify the risk-benefit profile of ceramic MTP arthroplasty.
This case series represents preliminary results of an ongoing clinical investigation of using total ceramic implants for the replacement of the first MTP as treatment of hallux rigidus. The early results are promising in terms of absence of complications, stability of the implant, relief of the pain and return of joint functionality. As for the future, it is planned to continue the follow-up of the patients in a long-term perspective to observe for the need in revision, to evaluate the functional outcomes and assess for potential complications. Additionally, it is planned to expand the patient cohort to improve the power of the study and generalizability of the results and for potential statistical analysis.
Conclusion
This case series represents promising short-term results for total first MTP joint replacement using ceramic implants in patients with hallux rigidus. All patients demonstrated marked improvement in function and pain within two months, with preserved results at six months postoperatively.
While these results align with early studies reporting favorable outcomes, long-term data in the literature remain controversial, with concerns about implant loosening and the high rates of need for revision. Ceramic implants may be a valuable option in well-selected patients seeking to preserve joint motion, but further long-term studies are needed to confirm their durability and safety.

_before_surgery_(b)_2_months_after_surgery_and_(c)_6_.png)
_before_surgery_(b)_2_months_after_surgery_and_(c)_6_.png)
_before_surgery_and_(b)_2_months_after_su.png)
._patient_a__immediate_postoperative_radiograph_(b).png)
._patient_a__6-month_follow-up_radiograph_(b).png)
._patient_b__immediate_postoperative_radiograph_(b).png)
._patient_b__6-month_follow-up_radiograph_(b).png)
._patient_c__immediate_postoperative_radiograph_(b).png)
._patient_c__6-month_follow-up_radiograph_(b).png)