Introduction
The risk of coxarthrosis following acetabulum fractures depends on different factors: the pattern of the initial fractures, the type of force that generated the trauma, the age and weight of the patient, the quality of the ORIF (Open Reduction Internal Fixation), the timeframe between the fracture and its treatment, concomitant pathologies. In other terms, the above-mentioned parameters are prognostically significant for future implantation.1–6
Modest initial acetabular deformation and conservative treatment are two favourable parameters for an uncomplicated hip arthroplasty.7–9
On the contrary, complex fracture patterns, bad reduction, pseudoarthrosis, previous surgeries, infections, devices, dense wound tissue and heterotopic ossification, can gravely complication a hip arthroplasty procedure.10,11 Altered peripheral vascularisation and areas of bone necrosis, particularly expose the implant to septic complications.
Post-traumatic coxarthrosis is not the sole indication for hip implants.12–14 Avascular necrosis of the femoral head, albeit rarer, is another indication.
The timing between the traumatic event and the replacement surgery is extremely variable: it is short in cases of avascular necrosis and be of years for post-traumatic coxarthrosis.
In the age of prosthetics, a few elements should be carefully evaluated: anterior surgical accesses, infections, paresis, heterotopic ossifications, type and localisation of the hardware, deformity of the pelvic annulus, acetabular defects, pseudoarthrosis, necrotic zones. All the aforementioned elements may complicate a THA.15,16
Materials and Methods
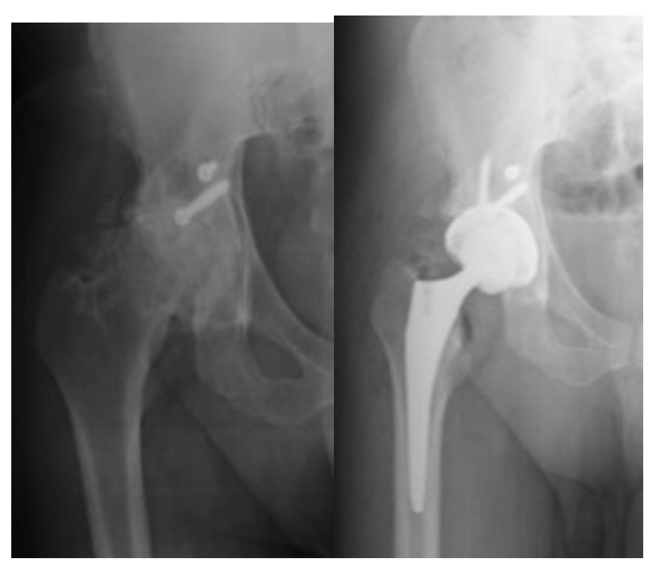
38 patients, 27 males and 11 females, ranging between 42 and 70 years old, benefited from THA. 32 for coxarthrosis, 6 for avascular necrosis of the femoral head, all secondary to an acetabular fracture (Fig.1a-b). 31 had undergone previous ORIF, 7 were treated conservatively. 4 patients underwent partial osteosynthesis material removal prior to the THA. One patient, suffering from aseptic necrosis, had undergone a decompression of the femoral head, without any results.
All patients were from other institutions and had been treated by the primary operator.
At admission, the patients benefited from a complete radiological assessment, a preoperative assessment and measurement of inflammatory factors (VES, PCR).
All patients with raised inflammatory factors underwent hip needle aspiration to exclude any occult infection, which was found in none of the cases.
18 patients showed heterotopic ossifications, graded 1-2 on the Brooker scale.2,17
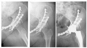
Of the 31 patients who had previously undergone ORIF, 3 underwent reduction and osteosynthesis with screws for marginal fractures, 14 underwent posterior stabilization, 8 underwent anterior stabilization and 6 underwent antero-posterior stabilization (Fig.2a-b-c).
The timeframe between the acetabular surgery and the THA varied between 1.2 and 16.4 years.
Surgical technique: A lateral access was chosen in all the cases: 6 cases required greater trochanter osteotomy because of limited exposure.18
All heterotopic ossifications found along the way were removed. Intra-acetabular screws were removed using adequate tools. 13 Acetabular defects correspond to Paprosky stage 1, 15 to stage 2°-2B and 2 to stage 2C. Bone impaction grafting was realized in all cases of acetabular defects, with bone chips retrieved from the femoral head.19,20
Prosthetic components were applied, without cement (Acetabular Cup: Tritanium, Femoral Stem Accolade, Stryker, Mahwah, NJ, USA and Acetabular Cup: Gription, Femoral Stem: Corail, De Puy Synthes, Raynham, Massachusetts, USA)21; acetabular screws were used in 30 out of 38 patients.
Straight single wedged stems were used in all the patients in the study. All patients were allowed early load (48h) with dual support. Imaging was realized in the post-operative period, at 3 months, at 1 year and at the final follow-up.
Results
All patients were seen by the primary operator at a follow-up of 4.6 to 9.7 years. They were evaluating following the Merle D’Aubigne and Pastel scale: optimal results were reported in all cases.
3 patients underwent open wound debridement at the 10th day because of continuous secretions from the wound. Three patients who had previously undergone ORIF surgery with plates and screws for a fracture of the posterior column, secondary to an infection of the implant, had to undergo and explantation procedure and one/two stage reimplantation at seven, fourteen and twenty-seven months respectively.
During the implant removal surgery, a posterior access was used to remove the synthesis material, the implant and to introduce an articulating spacer.
Tow patients underwent acetabular revision at 13 and 18 months from the THA surgery due to chronic instability of the implant.
At the final follow-up, radiolucent striae, without signs of mobilization of retro-acetabular stress shielding, were present in all the acetabular components.
Heterotopic ossification, evaluated as grade 1-2 according to the Brooker classification, were present in 9 implants (22%). A hypometry of 1 cm was present in 11 patients.
Discussion
Total hip arthroplasty for coxarthrosis or aseptic necrosis of the femoral head secondary to acetabular fractures, is a complex procedure, exposed to a higher rate of complications. Based on our experience, we believe we can suggest some tips to those who are starting to approach this intervention.
A rigorous pre-operative planning is a gold standard. Clinical and paraclinical preoperative exams should be able to show: eventual previous surgical accesses, initial ROM, eventual dismetry, the presence of heterotopic ossifications. The type and localization of hardware, acetabular bone remodelling including bone defects, zones of necrosis and pseudoarthrosis.
Particular attention should be given to inflammatory factors (VES and CRP), which could significate the presence of occult infections. In case of elevated inflammatory factors, we suggest the realization of a needle fluid aspiration for microbiological analysis and complete cell count. The surgical institution prior to the procedure is not relevant to the study.
On the basis of all the elements, the surgeons should evaluate the type of access and the reconstructive technique.
More particularly, the surgeon should evaluate using his usual surgical access or use another access depending on previous accesses, heterotopic ossifications, ROM, seat and type of hardware used and the type of acetabular defect. The reconstructive technique depends on the osseous defect and on bone quality, on the presence of zones of necrosis, pseudoarthrosis and eventual interfragmentary gaps.
Instruments to remove intraarticular screws should be included in the intraoperative instruments display. In all the cases included in the study, we used a direct lateral access, as it is best suited in case of heterotopic ossifications or presence of previous hardware.
In six, particularly rigid cases, we realized a grand trochanter osteotomy to permit a rapid and easy exposition of the articulation.
All the well exposed screws should be removed with specific instruments, while screws exposed during the reaming should not necessarily be removed if covered by bone impaction grafting. The reconstruction of the defects 2A, 2B and 2C on the Paprosky scale, was comparable to the techniques used for acetabular revisions.
Infections, implant instability and early mobility of the acetabular component are the most common complications following this type of surgery.22–27 Three patients from our cohort, underwent implant removal and articulating spacer installation at seven, fourteen and twentyseven months respectively, due to periprothetic infection.
Contextually, the hardwares attached to the posterior column of the acetabulum were removed. A posterior access was used to remove the implant and osteosynthesis material.
Continuos wound secretions should be rapidly taken care of by open wound debridement.
Two cases underwent revision surgery do to prothesis instability: both components were mobile, on a 2B Paprosky defect.
Despite optimal results in all the cases in our cohort, we know that better results are obtain in cases without previous ORIF or treated in excellent traumatology centers.28
We believe one topic is still up for debate: what should be done in cases of secondary coxarthrosis with implanted hardware and signs of occult infection? Preliminary isolated removal of the material VS removal of the material and implantation of an articulating spacer VS material removal and THA? We believe the second option to be the most logical and secure. The literature should be able to answer this question.
Conclusion
THA is a reliable option for coxarthrosis or aseptic necrosis secondary to acetabular fractures, showing promising results. Besides it remains a challenging procedure exposed to a higher rate of complications. In acute stage, the anatomy is grossly distorted and may require an additional fixation to support the acetabular component within the columns. In delayed stage, apart from distorted anatomy, possible necrosis of fragments, scar and fibrous tissue between the fragments, and, presence of implants from prior fixation create challenges during THA. However, in case with signs of occult infections, the surgeons must be mindful of possible periprosthetic infections, primary implant instability and early failure of the acetabular cup.
Acknowledgements
None
Compliance with Ethical Standards
The study was conducted according to the indications of the Declaration of Helsinki and further amendments. Written informed consent to be included in the study and publication was obtained from each patient.
Author contributions
All authors contributed equally to this paper with conception and design of the study, literature review and analysis, drafting, critical revision and editing of the manuscript, and in giving approval of the final version.
Informed consent statement
The informed consent statement was waived.
Conflict-of-interest statement
The authors certify that they have NO affiliations with or involvement in any organization or entity with any financial interest (such as honoraria; educational grants; participation in speakers’ bureaus; membership, employment, consultancies, stock ownership, or other equity interest; and expert testimony or patent-licensing arrangements), or non-financial interest (such as personal or professional relationships, affiliations, knowledge or beliefs) in the subject matter or materials discussed in this manuscript.
Data sharing statement
Data will be made available upon request.


